"중증 환자에게는 혈장치료가 스테로이드와 함께 대안" 국내 의료진이 위중한 '코로나19' 환자 2명을 대상으로 완치자의 혈장을 주입한 결과 증세가 호전된 것으로 확인됐다. 현재 혈장치료를 받은 2명 모두 완치됐으며, 이 중 1명은 퇴원한 상태이다.
혈장 치료는 코로나19 완치자에게서 획득한 항체가 들어있는 혈장을 환자에게 주입하는 방법으로 이미 중증급성호흡기증후군(SARS)이나 중동호흡기증후군(MERS), 에볼라 바이러스, 조류 독감 등 신종 바이러스 감염에 사용된 바 있다.
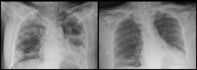
7일 세브란스병원에 따르면 최준용·김신영 교수팀은 코로나19로 위중한 71세 남성과 67세 여성 환자에게 혈장치료를 시행했다. 두 사람 모두 코로나19 폐렴으로 인해 급성호흡곤란증후군이 동반돼 인공호흡기를 단 상태였다.
의료진은 두 환자에게 완치자의 혈장 500㎖를 2회 용량으로 나눠 12시간 간격으로 투여하고 스테로이드 치료를 병행했다. 이후 두 사람 모두 인공호흡기를 뗄 정도로 상태가 호전됐고, 코로나19 검사에서도 음성 판정을 받았다.
최준용 세브란스병원 감염내과 교수는 "두 환자 모두 회복기 혈장 투여와 스테로이드 치료 후 염증 수치, 림프구수 등 각종 임상 수치가 좋아졌다"고 말했다.
최 교수는 "코로나19 중증환자를 치료하기 위해선 바이러스 증식과 과도한 염증 반응을 모두 잡아야 하는데 스테로이드는 염증 반응을 호전시키는 데 효과적이지만 바이러스 증식에는 악영향을 미친다"면서 "완치자의 혈장 속에 있는 중화 항체를 함께 조합해서 쓰면 바이러스 증식을 막는 데 도움이 될 수 있다"고 설명했다.
그러면서 "혈장치료가 나름의 부작용들이 있고 대규모 임상시험이 없어 과학적인 증거는 충분하지 않지만, 마땅한 치료법이 없는 코로나19 중증 환자에게는 혈장치료가 스테로이드와 함께 대안이 될 수 있다"고 덧붙였다.
이번 코로나19 중증환자의 혈장치료 과정과 결과는 대한의학회지 최신호에 게재됐다.
KPI뉴스 / 김광호 기자 khk@kpinews.kr
[저작권자ⓒ KPI뉴스. 무단전재-재배포 금지]






















